iMerit Radiology Annotation Product Suite unites our global expert workforce, secure data management, collaboration tools, and annotation automation on iMerit Ango Hub platform.

Source, annotate and validate to accelerate AI development
iMerit Radiology Annotation Product Suite unites our global expert workforce, secure data management, collaboration tools, and annotation automation on iMerit Ango Hub platform.

iMerit Radiology Editor, powered by the Ango Hub Data Labeling platform, is purpose-built to support medical imaging annotation across diverse formats, including Nifti, NRRD, DICOM, TIFF, and MP4. This platform automates and accelerates manual annotation tasks with AI assistance while maintaining regulatory and security compliance. Extend capabilities of iMerit Radiology Editor with many plugins, webhooks, and other 3rd-party integrations.
Navigate studies in their most true radiologic representation with segmentations natively reflected in all planes.
The ability to toggle a 3D reconstruction of annotations allows for precision modeling of structures.
Use your own or off-the-shelf models to generate automated annotations in the tool or as a part of the workflow.
Configurable workflows and robust task management tools organize your data pipeline for scale, ensure quality, and allow collaboration with ease.
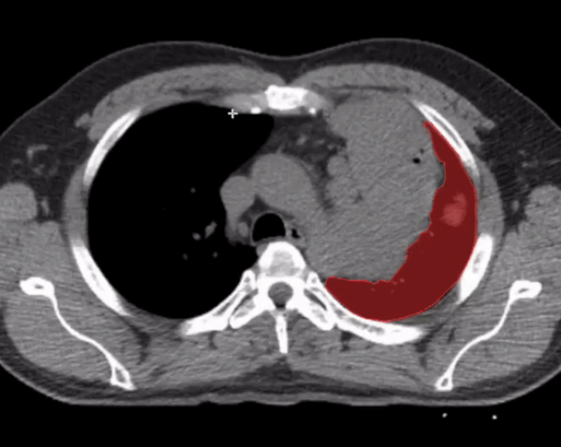
Autoselect a group of voxels based on the Hounsfield units of the selected voxel with adjustable tolerance.
Achieve fast, pixel-perfect masks for an object or a region with context-aware and automation-assisted labeling.

Use your own data or access iMerit’s extensive network of healthcare facilities, research institutions, and healthcare data providers to source radiological imaging data across a range of modalities such as X-rays, CT Scans, Ultrasounds, and MRIs. Our data curation teams and experts work to support data needs, from training models to regulatory validation protocols.
A comprehensive network of US board-certified radiologists benchmark and validate data while our hybrid workflows allow our global teams of radiology specialists to scale operations cost-effectively. Complementing this data intelligence is our active project management and quality control structure, equipping our teams to deliver high-quality annotated images at scale.
Security and compliance in Medical AI require continuous vigilance and adaptation to changing regulations. At iMerit, all annotations and processes support successful FDA submission in an evolving regulatory landscape. Our training, physical safeguards, and software systems ensure all data, personnel, and processes satisfy all healthcare regulatory guidelines.

Achieve maximum accuracy and efficiency in your training data operations with our custom workflow builder to support pre-labeling, production, quality control, and auditing. With a simple drag-and-drop interface, using, refining, and reusing workflows across projects is a snap. API functionality and cloud integrations for your Medical AI data pipeline, allow developers to programmatically scale your operations with a few lines of code.
