Fast, consistent medical image labeling with quality-first workflows
Make medical imaging annotation consistent at scale. With DICOM support in Ango Hub, you get structured workflows, built-in quality checks, and governed access so teams label faster with confidence.
Highly configurable workflows supporting segmentation, keypoints, landmarks, bounding boxes, and reporting.




iMerit delivers clinical-grade DICOM annotation with the rigor medical imaging AI demands. Our medically trained teams follow defined labeling protocols and structured review workflows to ensure consistency across studies, modalities, and edge cases. With secure operations and enterprise controls, you get reliable annotations you can trust for medical AI development.
Medical imaging requires more than generic labeling. Our specialists apply consistent clinical context, resolve ambiguity quickly, and follow structured review steps to produce dependable ground truth.
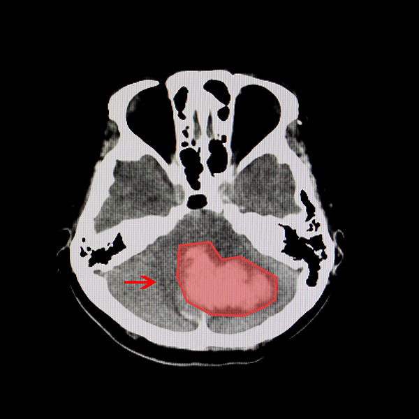
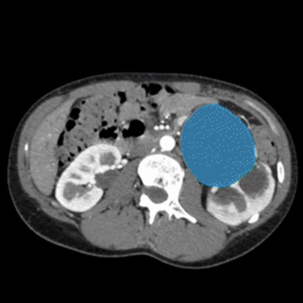
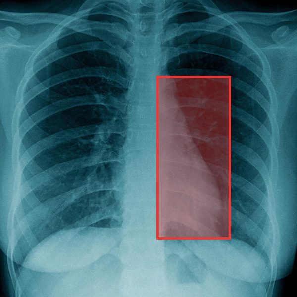
Ango Hub supports DICOM workflows with an in-platform viewer, task management, and collaboration, including the ability to view and annotate up to 24 DICOM images side by side for faster series work and validation.
Sensitive medical data deserves secure handling. We operate with locked-down access controls, governed workflows, and compliance-ready processes designed for regulated medical imaging programs.
HUMAN IN THE LOOP
What makes Ango Hub's DICOM annotation tool suitable for medical imaging AI?
Ango Hub is purpose-built for clinical-grade annotation — not adapted from a generic labeling tool. It supports an in-platform DICOM viewer that lets annotators view and label up to 24 DICOM images simultaneously for richer clinical context, structured workflows for segmentation, keypoints, landmarks, bounding boxes, and reporting, and built-in QA processes including reviewer validation, benchmarking, and consensus options for difficult cases. It's designed for the rigor that medical imaging AI demands.
Does the DICOM annotation tool comply with HIPAA, FDA, and other regulatory standards?
Yes. Ango Hub's DICOM workflows are designed with regulatory compliance in mind, including HIPAA, FDA 510(k), and MQSA requirements. The platform includes audit trails, metadata tagging, rigorous QA processes, and governed access controls. For teams developing AI for clinical decision support or FDA submission, iMerit's compliance-ready annotation infrastructure is built to support those requirements from the start.
What annotation types does the DICOM tool support for radiology and pathology datasets?
Ango Hub supports bounding boxes, rotated bounding boxes, polygons, polylines, point and brush annotation, and full segmentation for DICOM data. These tools cover the annotation needs for radiology (CT, MRI, X-ray), digital pathology, breast imaging, and other clinical modalities. iMerit's medically trained annotators apply these tools with consistent clinical context and structured review protocols.
How does iMerit ensure annotation quality in medical imaging projects?
iMerit combines expert human reviewers with Ango Hub's built-in quality enforcement. Medically trained specialists handle ambiguous cases, apply consistent labeling protocols across studies and modalities, and follow structured review workflows with adjudication steps. Quality is tracked through throughput and cycle time analytics, so project leads can identify and address bottlenecks before they become rework problems.
Can Ango Hub's DICOM annotation tool integrate with existing medical AI and data pipelines?
Yes. Ango Hub connects to ML and data pipelines through SDK and API support, with webhooks for automated export and downstream triggers. Whether you're feeding labeled DICOM data into a training pipeline, a model validation workflow, or a regulatory submission process, Ango Hub is built to plug into your infrastructure — not replace it.
Build medical imaging datasets with confidence. With DICOM support in Ango Hub and iMerit delivery, you get consistent annotations with governed access and quality-first workflows.