Pathology
Annotation

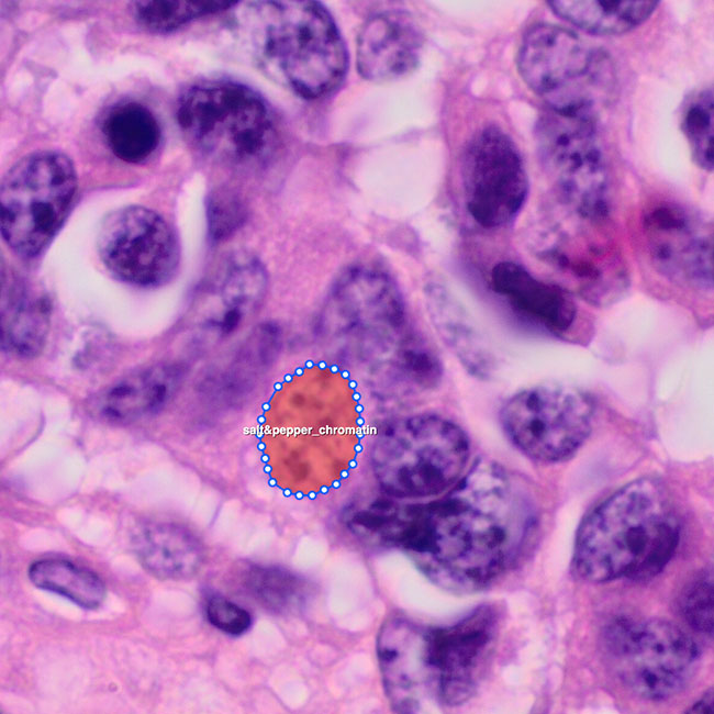
Whole Slide Image (WSI) Labeling with High Accuracy to Accelerate AI-Assisted Pathologic Diagnoses

TALK TO AN EXPERT

Challenges of Pathology Annotation

AI and computer vision models can now easily differentiate between normal and abnormal tissues and even identify patterns too complex for the human eye in just a fraction of the time.

However, these models commonly rely on understanding tissue structural and cytologic variations in whole slides. The accuracy and reliability of results depend on cost-effective approaches to create high-volume and high-quality annotated pathology datasets.

iMerit Expertise

iMerit’s pathologist-led specialized teams annotate cells and tissues on whole slide images to help academic centers, pharmaceutical companies, and digital pathology startups develop next-generation diagnostic products and treatments across a host of diseases.

Our extensive tool ecosystem with custom Expert-in-the-loop workflows helps achieve cost-efficient scaling while being HIPAA-compliant and conforming to FDA regulatory approval standards.

High-Quality Digital Pathology Annotation

iMerit supports AI/ML teams in the healthcare industry by accurately annotating cells and tissues across various traditional stains, including Immunohistochemistry (IHC), Chromogenic in situ hybridization (CISH), and Immunofluorescence (IF, FISH).

  • iMerit’s workforce undergoes a rigorous pathologist-developed curriculum to deliver high-quality images efficiently. 
  • Specialized medical annotators work hand-in-hand with pathologists in hybrid workflows.
  • US board-certified physicians are available for benchmarking and validation.
  • HIPAA-compliant annotation processes will ensure data stays protected and secure.
  • Our regulatory-grade processes ensure AI-assisted products get FDA 510K clearance.
  • iMerit’s tool set includes WSI functionality options and Auto-labeling features.
Contact Us
20

Mn

Data Points Enriched for Healthcare AI

300

%

Pathologist Productivity Gain through Diagnostic Support

97

%

F1 Score vs. Expert Gold Set - Ki67 Breast Cancer Staining

CASE STUDY

A Major Public Health Institution Improves Cancer Treatment with iMerit

One of the challenges of this Public Health Institution, specializing in biomedical and health research, is that it took them almost two weeks to analyze biopsy reports, leading to increased patient emotional burden and a higher risk of disease progression.

With high-quality annotated images of cancer cells by iMerit’s team, the client could generate ground truth datasets for an AI model that added diagnostic support and triage to their clinicians.

Common Use Cases

Prostate Cancer
Prostate Cancer

Annotators delineate glandular structures and tumor regions on prostate core biopsies and whole-slide images. Pathologist-led QA ensures clinically accurate Gleason grading and helps train AI models for early detection and grading.

Lung Cancer
Lung Cancer

iMerit supports tumor detection and classification in lung biopsy slides. Our annotation teams segment tumor types (adenocarcinoma, squamous cell carcinoma) and support IHC-based biomarker quantification (PD-L1 expression and more).

Colorectal Cancer
Colorectal Cancer

Annotation teams classify epithelial tissue, detect invasive fronts, and segment polyps or adenocarcinoma regions. These datasets support AI tools for colorectal cancer screening and histological subtype identification.

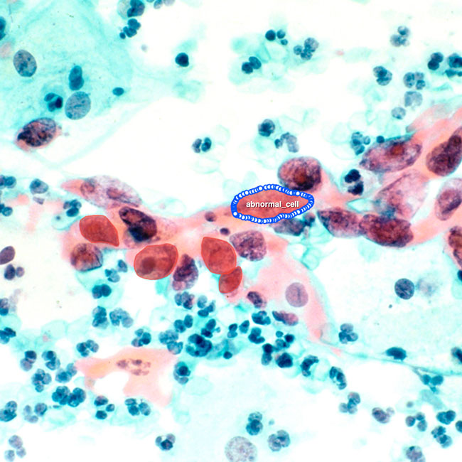
Cervical Cancer
Cervical Cancer

Using digital Pap smear slides, iMerit annotators label abnormal squamous and glandular cells. These annotations aid in training AI models for cervical dysplasia detection and HPV-related cancer risk stratification.

Melanoma & Skin Cancers
Melanoma & Skin Cancers

For dermatopathology use cases, iMerit supports annotation of melanocytic lesions, mitotic activity, and immune infiltration, helping build datasets for skin cancer detection and recurrence prediction.

Lymphoma
Lymphoma

Our teams annotate lymphoid structures and classify cell morphology to support lymphoma subtype classification. IHC biomarker quantification (CD20, Ki67 and more) assists in grading and monitoring progression.

Liver Cancer (HCC)
Liver Cancer (HCC)

iMerit annotates histopathological slides from liver biopsies to detect hepatocellular carcinoma and fibrosis staging. Annotations are used in AI development for early-stage HCC detection and treatment planning.

Breast Cancer - Metastasis Detection
Breast Cancer - Metastasis Detection

In addition to IHC staining, iMerit’s team supports detection of micrometastases in sentinel lymph nodes to assist in breast cancer staging and therapy decisions.

Gliomas & Brain Tumors
Gliomas & Brain Tumors

Our annotators support CNS tumor workflows, including glioma classification and tumor grading based on cell density, mitoses, and necrosis; often combining H&E with molecular markers like IDH1 or ATRX.

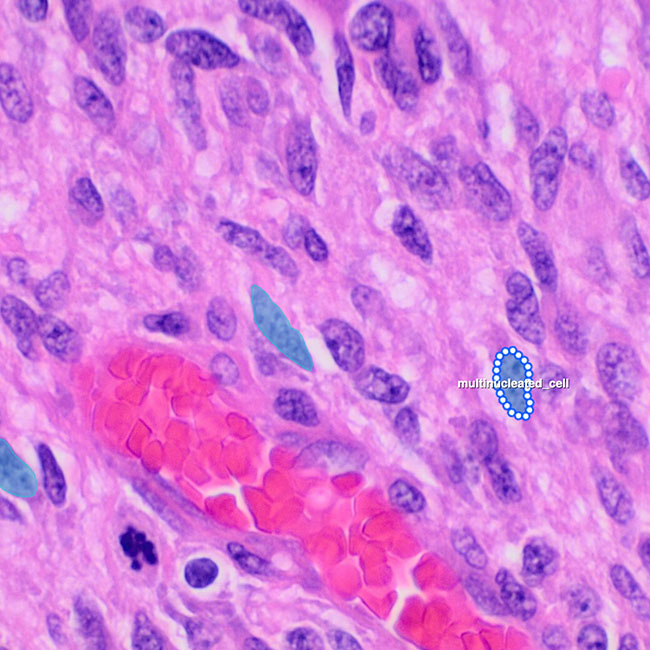
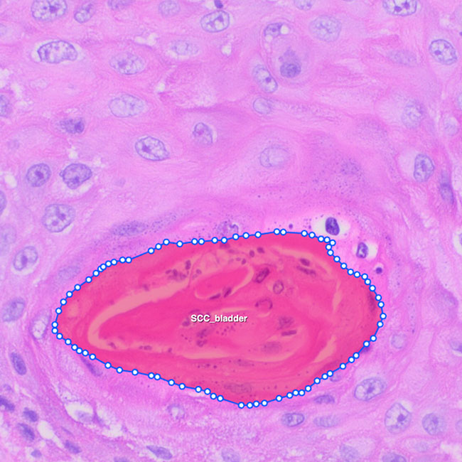
Bladder Cancer
Bladder Cancer

iMerit’s team provides tumor segmentation and grade classification for bladder carcinoma, often in transurethral resection specimens (TURBT), supporting AI models that guide therapeutic response.

"We have now done a more in-depth review of your work on the first phase of the annotation project, and we're delighted with the high level of accuracy."

Ph.D. Research Manager, Leading Medical Device Company

Advanced Pathology Use Cases

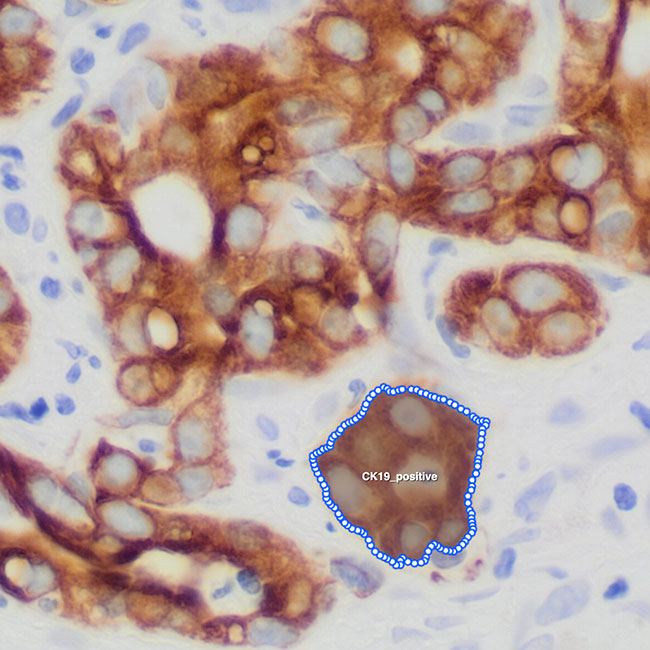
IHC Biomarker Quantification

iMerit annotators support precise quantification of biomarkers in immunohistochemistry (IHC) slides, including Ki67, to help assess tumor proliferation rates. Pathologist-verified workflows ensure accurate cell counts and stain intensity scoring for use in clinical research and diagnostics.

Foundation Model Support for Histopathology

We provide expertly annotated datasets to train and validate foundation models for complex histopathological tasks; such as feature extraction, multi-tissue classification, and cross-modal generalization across H&E, IHC, and multiplex modalities.

Rare Disease Annotation

iMerit supports rare disease studies by annotating small, high-precision datasets that require expert oversight. These projects often involve complex histomorphological features and benefit from our pathologist-led quality assurance.

Tumor Microenvironment Analysis

Our annotators map various cell types and extracellular components to delineate the tumor microenvironment, enabling AI models that analyze spatial patterns, immune infiltration, and tumor-stroma interactions for research and drug development.

Longitudinal Tissue Study Support

iMerit helps annotate serial tissue sections from longitudinal studies, ensuring consistent labeling across timepoints. This supports disease progression studies, therapeutic efficacy evaluations, and time-series model training.

Download Solution Brief